Hơn 4 năm đi nhiều bệnh viện tìm nguyên nhân đau đầu, cuối cùng anh P. được bác sĩ BVĐK Tâm Anh TP.HCM phát hiện có khối u tủy thượng thận 6cm gây khó khăn trong lúc mổ phải khống chế cơn tăng huyết áp dẫn đến đột quỵ.

Anh T.H.P. (50 tuổi, Long An) được xuất viện sau 5 ngày mổ lấy khối u tủy thượng thận to bằng quả trứng vịt (6cm). Người bệnh không còn đau đầu hay khó thở, không còn cao huyết áp, tim hết đập nhanh.
4 năm trước, anh P. bị tăng huyết áp đột ngột nhiều lần trong ngày, có khi tăng hơn 200/160 mmHg (mức bình thường 120/80 mmHg), kèm đau nhức đầu, run tay, hồi hộp đánh trống ngực, khó thở, mệt. Nhiều bệnh viện, phòng khám lớn chẩn đoán anh bị rối loạn thần kinh và hội chứng đau nửa đầu.
Anh P. chia sẻ: “Tôi không thể nhớ nổi mình đã đi khám bao nhiêu lần và bao nhiêu bệnh viện để điều trị bệnh này.”
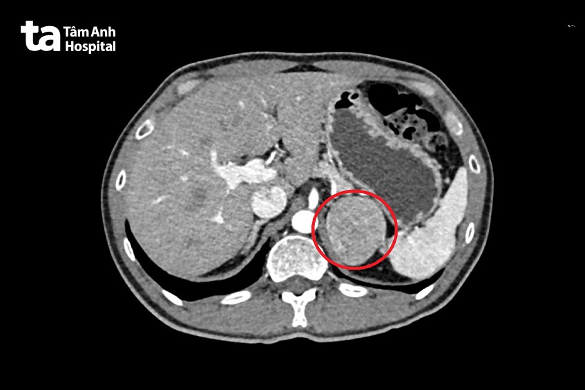
Tháng 10/2023, anh P. được vợ khuyên tới BVĐK Tâm Anh TP.HCM. Với triệu chứng kể trên, bác sĩ CKI Võ Trần Nguyên Duy, khoa Nội tiết – Đái tháo đường, BVĐK Tâm Anh TP.HCM nghi ngờ người bệnh gặp vấn đề ở tuyến thượng thận. Đúng như dự đoán, kết quả siêu âm bụng phát hiện tuyến thượng thận trái có u lớn. Người bệnh tiếp tục được chụp CT (chụp cắt lớp vi tính), xét nghiệm máu và nước tiểu, đã “định vị” chính xác u tủy thượng thận trái hiếm gặp, 8/1.000.000 người mắc bệnh. Khối u nằm trong lõi tuyến thượng thận, phát triển lớn đẩy và đè lên dạ dày, bó mạch lách.

Kết quả xét nghiệm nước tiểu và máu cho thấy nhóm hormone catecholamines tiết ra từ tủy thượng thận tăng cao. Cụ thể, chỉ số hormone metanephrines trong nước tiểu tăng gấp 21 lần, hormone adrenaline tăng gấp 10, hormone metanephrines trong máu tăng gấp 18 lần so với chỉ số bình thường.
Bác sĩ Duy giải thích chính u tủy thượng thận khiến anh P. rơi vào đau đầu, tăng huyết áp đột ngột, căng thẳng dẫn đến phản ứng “chiến hay chạy” – phản ứng này làm tim đập nhanh hơn, lo lắng, khó thở. Bệnh nhân may mắn vì bệnh chưa diễn tiến đến giai đoạn biến chứng gây suy thận, suy tim, đột quỵ.
Tại khoa Nội tiết – Đái tháo đường, anh P. được bác sĩ điều trị đưa huyết áp về ngưỡng ổn định, ngăn các cơn tăng huyết áp kịch phát, sử dụng các thuốc đặc hiệu giúp giảm nồng độ hormone tủy thượng thận. Khi huyết áp và hormone tủy thượng thận về ngưỡng cho phép, người bệnh được phẫu thuật cắt bỏ khối u.

Trước khi ca mổ diễn ra, thạc sĩ bác sĩ Nguyễn Tân Cương, Phó khoa Tiết niệu, Trung tâm Tiết niệu – Thận học – Nam khoa, BVĐK Tâm Anh TP.HCM – phẫu thuật viên chính cho anh P. đánh giá khối u tuỷ thượng thận phóng thích nhóm hormone catecholamine vào máu làm huyết áp người bệnh tăng cao đột ngột. Do đó, khi bóc tách khối u dễ gây tăng huyết áp kịch phát dẫn tới đột quỵ. Khi lấy được khối u ra ngoài huyết áp có thể giảm nhanh chóng, nếu không xử trí kịp thời, người bệnh sẽ trụy mạch, tử vong.
Không chỉ vậy, khối u kích thước lớn có nhiều mạch máu tăng sinh xung quanh, nằm sâu vùng sau phúc mạc, bao quanh là các tạng như: thận, lách, tụy, ruột và các mạch máu lớn. Vì vậy, ekip phẫu thuật đánh giá cặn kẽ nguy cơ chảy máu, khó cầm máu và tổn thương các cơ quan lân cận. Các bác sĩ khoa Tiết niệu quyết định phẫu thuật nội soi cắt bỏ khối u tủy thượng thận nhằm giảm thiểu xâm lấn, giảm đau cũng như giúp người bệnh phục hồi nhanh hơn.
Để kiểm soát được huyết áp và tình trạng mất máu cho người bệnh trong suốt cuộc mổ, ekip bác sĩ Gây mê – Hồi sức đã đặt một catheter ở cổ tay người bệnh theo dõi huyết áp động mạch và một catheter tĩnh mạch cổ đo lưu lượng máu.
Trong hơn 3 giờ phẫu thuật, với sự hỗ trợ từ hệ thống phẫu thuật nội soi 3D/4K Karl Storz (Đức) và máy siêu âm, bác sĩ Nguyễn Tân Cương cùng đồng nghiệp đã thận trọng kẹp cắt từng mạch máu nuôi u. Khối u tuyến thượng thận lớn được bóc tách tỉ mỉ, gọn gàng ra khỏi mô xung quanh. Nhờ đó, cuộc mổ diễn ra an toàn, mất máu ít.
Sau mổ, anh P. bình phục nhanh chóng, huyết áp ổn định. Anh được bác sĩ theo dõi nồng độ hormone u tủy thượng thận, điều chỉnh về mức an toàn.

1% người bệnh cao huyết áp có nguy cơ mắc u tủy thượng thậnBác sĩ Võ Trần Nguyên Duy cho biết u tủy thượng thận là khối u hiếm gặp, phát triển từ lõi của tuyến thượng thận, được tạo từ một tế bào nhất định có tên là chromaffin. Tế bào này làm tăng tiết hormone tủy thượng thận. Hầu hết, u tủy thượng thận lành tính nhưng có khoảng 10%-15% u có tế bào ác tính. Bệnh có thể gặp ở mọi lứa tuổi, phần lớn ở người từ 30-50 tuổi, khoảng 10% trường hợp gặp ở trẻ em. 1% người bệnh tăng huyết áp có nguy cơ mắc u tủy thượng thận. U tủy thượng thận gây ra các triệu chứng như: huyết áp tăng, khó thở, tim đập nhanh, đau ngực, nhức đầu, đau lưng, căng cứng cơ, giảm ham muốn tình dục, mất ngủ, suy nghĩ tiêu cực, tính cách nóng nảy, thiếu kiên nhẫn, dễ tức giận… Hiện y học chưa xác định rõ nguyên nhân gây u tủy thượng thận. Khoảng 25%-35% người mắc u tủy thượng thận có di truyền trong gia đình và liên quan đến các bệnh như: Hội chứng đa u nội tiết 2, bệnh Von Hippel-Lindau (rối loạn thần kinh di truyền), u xơ thần kinh, hội chứng paraganglioma di truyền (u ngoài tuyến thượng thận), u cận hạch, u sụn phổi… Bác sĩ Võ Trần Nguyên Duy cho biết hiện chưa có biện pháp phòng bệnh u tủy thượng thận. Việc tầm soát phát hiện bệnh để điều trị sớm giúp giảm nguy cơ biến chứng ảnh hưởng tới sức khỏe. Do đó, người dân nên chủ động khám sức khỏe nội tiết ít nhất 1 lần/năm nhằm phát hiện sớm các bệnh nội tiết trong đó có u tủy thượng thận. |
HỆ THỐNG BỆNH VIỆN ĐA KHOA TÂM ANH
HỆ THỐNG BỆNH VIỆN ĐA KHOA TÂM ANH