Bé trai 13 tuổi bị lõm ngực bẩm sinh được phẫu thuật nội soi đặt thanh nâng ngực thành công tại Bệnh viện Đa khoa Tâm Anh TP.HCM.
Bé Trương Mạnh (13 tuổi, ngụ quận Tân Bình, TP.HCM) bị lõm ngực bẩm sinh nhưng không được phát hiện sớm. Gần đây, khi bước vào tuổi dậy thì, cơ thể bắt đầu phát triển nhanh nên vùng lõm phía trước ngực lộ ra rõ hơn, khiến em tự ti, mặc cảm khi đến trường, gia đình mới đưa em đến Bệnh viện Đa khoa Tâm Anh TP.HCM thăm khám. Tại đây, các bác sĩ xác định Mạnh bị lõm ngực bẩm sinh, cần phẫu thuật phòng biến chứng ảnh hưởng đến sức khỏe khi trưởng thành.
TS.BS Nguyễn Anh Dũng, Trưởng khoa Phẫu thuật Tim mạch – Lồng ngực, Trung tâm Tim mạch BVĐK Tâm Anh TP.HCM cho biết, may mắn là tình trạng lõm ngực của bệnh nhi ở mức độ vừa nên chức năng tim phổi vẫn bình thường, cột sống không bị ảnh hưởng. Các bác sĩ quyết định chọn phương pháp phẫu thuật nội soi lồng ngực đặt thanh dụng cụ nâng ngực để sửa chữa dị dạng lõm ngực bẩm sinh cho em.

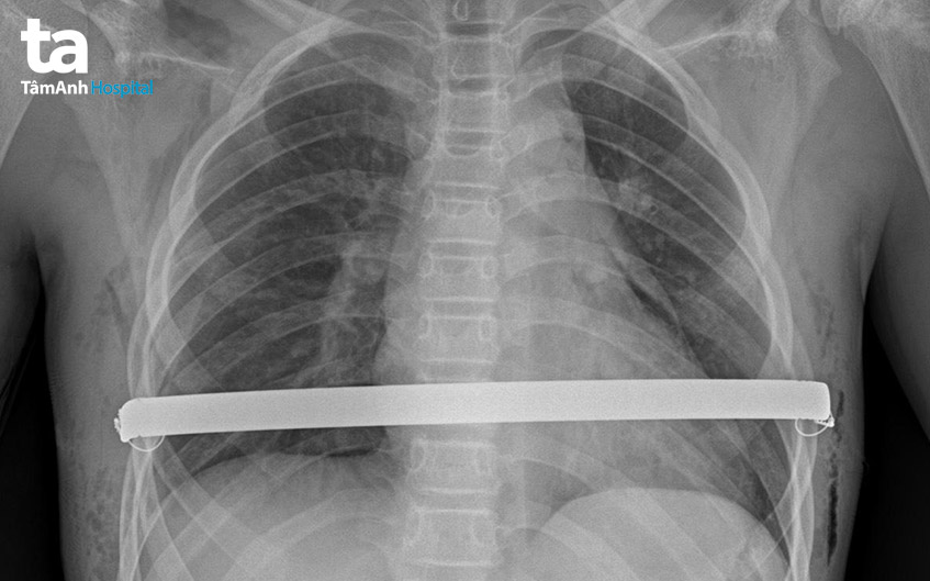
Bước vào ca phẫu thuật lõm xương ức, các bác sĩ mở hai đường nhỏ phía trước bên thành ngực để tạo ra một đường hầm đưa thanh kim loại vào. Sau đó, thanh kim loại cong được xoay 180 độ lên trên, đẩy xương ức phồng lên và được cố định vào khung sườn. Một camera được đặt vào lồng ngực trong suốt quá trình phẫu thuật, giúp bác sĩ quan sát rõ tim và các mạch máu lớn để không làm tổn thương những cơ quan này. Sau phẫu thuật, dị dạng vùng ngực của Mạnh được khắc phục hoàn toàn. Sức khỏe bệnh nhi ổn định và xuất viện sau 5 ngày.
Chị Ngọc Mai, mẹ bé Trương Mạnh vui mừng chia sẻ: “Tôi đưa Mạnh đi khám vì thấy vùng ngực con biến dạng bất thường. Khi bác sĩ chẩn đoán bé bị lõm ngực bẩm sinh và cần phẫu thuật, gia đình tôi khá lo lắng. Tuy nhiên, ca mổ diễn ra rất thuận lợi, bé hồi phục nhanh và vùng ngực trở lại hình dáng như bình thường. Bé sẽ không còn mặc cảm mà tự tin đến trường. Chúng tôi cảm ơn các bác sĩ đã tận tình thăm khám và điều trị, giúp bé thoải mái thực hiện ước mơ trở thành một chuyên gia công nghệ thông tin”.

BS.CKII Nguyễn Đỗ Trọng, khoa Phẫu thuật Tim mạch – Lồng ngực, Trung tâm Tim mạch BVĐK Tâm Anh TP.HCM thông tin, lõm ngực bẩm sinh (hay còn gọi là ngực phễu) là dị dạng thành ngực bẩm sinh thường gặp nhất ở trẻ em và thiếu niên, xảy ra với tỷ lệ 1/300 – 1/400 trẻ sơ sinh và chiếm 90% trong tất cả biến dạng lồng ngực. Bệnh thường gặp ở trẻ trai hơn so với trẻ gái. Dị tật này có liên quan đến yếu tố gia đình (35%), vẹo cột sống (21%), có thể kèm theo các hội chứng bẩm sinh khác (Marfan, Ehlers-Danlos, Poland…).
Lõm ngực là tình trạng phát triển bất thường của khung xương sườn. Trong đó, xương ức phát triển vào trong, gây ra vết lõm ở thành ngực. Mặc dù xương ức lõm xuống thường dễ nhận thấy ngay sau khi sinh, nhưng bệnh lý này thường trở nên trầm trọng hơn trong giai đoạn phát triển vượt bậc của tuổi vị thành niên.

TS.BS Nguyễn Anh Dũng cho biết, trước đây, phương pháp phổ biến để điều trị lõm ngực là phẫu thuật Ravitch. Thời điểm đó, Ravitch gần như là phương pháp phẫu thuật chuẩn mực để sửa chữa dị dạng lõm ngực bẩm sinh. Tuy nhiên, phương pháp này có nhược điểm là để lại sẹo lớn. Như vậy, lồng ngực sau phẫu thuật tuy không còn lõm nhưng xuất hiện vết sẹo mất thẩm mỹ.
Ngày nay, các bác sĩ ứng dụng phương pháp mới trong điều trị lõm ngực, đó là phẫu thuật Nuss với việc sử dụng camera đặt vào lồng ngực, giúp quan sát rõ tim và các mạch máu lớn để cuộc mổ diễn ra an toàn, hạn chế tối đa tai biến. Ngoài ra, so với phương pháp cũ phải cắt xương ức và các sụn sườn, phẫu thuật Nuss là kỹ thuật xâm lấn tối thiểu, hạn chế chảy máu, giảm đau và đảm bảo thẩm mỹ cho người bệnh.

Bác sĩ Trọng chia sẻ: “Sau mổ, trẻ được điều trị tại bệnh viện với mục đích giảm đau và chống nhiễm trùng. Hiện nay tại Bệnh viện Đa khoa Tâm Anh, chúng tôi áp dụng phương pháp giảm đau ngoài màng cứng với hiệu quả vượt trội so với giảm đau tĩnh mạch thông thường. Trẻ nhanh hồi phục và có thể xuất viện sau 3-5 ngày.
Sau khi xuất viện, trẻ có thể tiếp tục sinh hoạt, vui chơi, học tập bình thường. Tuy nhiên, cần giữ tư thế ngực thẳng để tránh làm lệch thanh nâng ngực. Bên cạnh đó, nên hạn chế tập những môn thể thao đối kháng, gắng sức để giảm thiểu nguy cơ xẹp phổi và tái phát lõm ngực về sau”.
Sau ca phẫu thuật lõm ngực, trẻ được tái khám theo lịch. Khoảng 2 năm kể từ ngày phẫu thuật, xương ức ổn định, cứng chắc ở tư thế phẳng, bệnh nhân sẽ được thực hiện phẫu thuật lần hai để rút thanh nâng ngực, kết thúc quá trình điều trị. Theo bác sĩ Dũng, trường hợp trẻ phẫu thuật sau 18 tuổi thường phải để lâu hơn, từ 3-4 năm mới rút thanh nâng ngực.
Khoa Phẫu thuật Tim mạch – Lồng ngực, Trung tâm Tim mạch BVĐK Tâm Anh quy tụ đội ngũ bác sĩ giàu kinh nghiệm trong chẩn đoán và điều trị các bệnh lý về tim mạch, lồng ngực, mạch máu. Tại đây trang bị hệ thống máy móc tiên tiến, giúp chẩn đoán bệnh chính xác và hỗ trợ bác sĩ tiến hành các cuộc phẫu thuật ít xâm lấn, giúp nâng cao hiệu quả điều trị và rút ngắn thời gian hồi phục cho bệnh nhân.
Hạ Vũ
* Tên nhân vật trong bài đã được thay đổi