Hội chứng thực bào máu dù ít gặp nhưng có thể gây ảnh hưởng nghiêm trọng đến sức khỏe người bệnh. Vậy đâu là nguyên nhân gây ra và phương pháp điều trị ra sao để kiểm soát bệnh hiệu quả?

Hội chứng thực bào máu hay hội chứng ăn tế bào máu (Hemophagocytic lymphohistiocytosis – HLH) là hội chứng ít gặp, hình thành do các cytokin trong máu gia tăng quá mức. Bệnh đặc trưng bởi tình trạng viêm toàn thân do sự hoạt hóa và tăng sinh bất thường, mất kiểm soát giữa các tế bào natural killer (NK), tế bào T CD8+ và đại thực bào.
Bệnh lý này có thể diễn tiến âm thầm hoặc xảy ra đột ngột, gây tổn thương đa cơ quan với tỷ lệ tử vong cao. Vì thế, việc chẩn đoán và điều trị kịp thời đóng vai trò đặc biệt quan trọng để giúp giảm thiểu nguy cơ tử vong do rối loạn chức năng đa cơ quan. (1)

Hội chứng thực bào máu (HLH) hình thành do nhiều nguyên nhân, được chia thành hai nhóm chính:
Xảy ra khi một người mang gen đột biến liên quan đến bệnh lý, biểu hiện dưới các dạng F-HLH 2-5, hội chứng griscelli loại II, hội chứng chediak – higashi và một số phân loại khác. Bệnh thường khởi phát khi trẻ bị nhiễm trùng.
So với thể di truyền, tình trạng này ở dạng thứ phát thường gặp hơn ở người trưởng thành, với độ tuổi trung bình khoảng 50. Bệnh thường đến từ nhiễm trùng, bệnh ác tính, bệnh tự miễn hoặc rủi ro khi thực hiện một số liệu pháp và ghép tạng gây ra.
Một số triệu chứng thường xuất hiện ở người mắc bệnh HLH có thể bao gồm: (2)
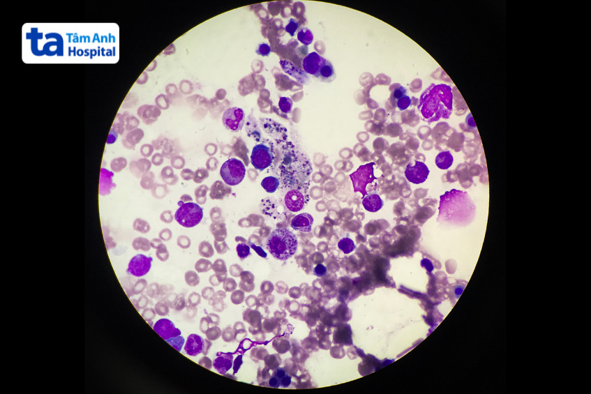
Về bản chất, thực bào máu là một biến chứng nghiêm trọng. Quá trình các tế bào miễn dịch tấn công cơ thể sẽ gây vỡ hồng cầu và tiêu hủy các tế bào máu khác, dẫn đến thiếu hụt oxy nuôi dưỡng, tổn thương mô, suy đa cơ quan và tiềm ẩn nguy cơ tử vong cao.
Trẻ em mắc bệnh này nếu không được điều trị có tỷ lệ tử vong gần như là 100%. Nghiên cứu cho thấy, với những trẻ được điều trị bằng tiêu chuẩn HLH – 94, tỷ lệ sống sót sau 3 năm là 55%; con số này rơi vào khoảng 60 – 70% ở những trẻ được phẫu thuật ghép tủy xương thành công.
Trong khi đó, việc xác định tỷ lệ tử vong ở người lớn thường phức tạp hơn, bởi khó để xác định nguyên nhân dẫn đến tử vong là do hội chứng ăn tế bào máu hay các bệnh lý tiềm ẩn khác.
Dựa trên tiêu chuẩn chẩn đoán HLH – 2004, một người có thể được chẩn đoán mắc bệnh nếu xuất hiện ⅝ triệu chứng dưới đây:
Bác sĩ cũng chẩn đoán bệnh lý dựa trên các gen đột biến liên quan đến hội chứng này gồm: MUNC13-4, PRF1, STAT1, CARD9, UNC130, STX11 và STXBP2.
Dựa vào các tiêu chuẩn trên, tùy từng trường hợp cụ thể, bác sĩ sẽ chỉ định một số phương pháp chẩn đoán phù hợp, bao gồm:
Các phương pháp này nhằm đánh giá nguyên nhân, mức độ nghiêm trọng và khả năng đáp ứng với phác đồ điều trị, từ đó đưa ra kết luận chẩn đoán chính xác.

Phác đồ điều trị được bác sĩ xây dựng theo hướng cá nhân hóa khi đã có kết quả chẩn đoán chính xác. Một số phương pháp thường được chỉ định trong điều trị hội chứng thực bào tế bào máu, có thể bao gồm:
Hóa trị là phương pháp điều trị hiệu quả cho nhiều bệnh lý, bao gồm HLH. Hóa trị được thực hiện nhằm ức chế sự phát triển của các tế bào miễn dịch đang hoạt động quá mức trong cơ thể. Các thuốc hóa trị toàn thân tấn công thường được chỉ định dùng trong 8 tuần.
Một số thuốc ức chế miễn dịch có thể được bác sĩ chỉ định dùng nhằm kiểm soát phản ứng viêm, hỗ trợ làm chậm sự phát triển của tác nhân gây bệnh.
Trong trường hợp dùng thuốc không mang lại hiệu quả như mong muốn, bác sĩ có thể chỉ định ghép tế bào gốc. Phương pháp này sử dụng tế bào tủy xương khỏe mạnh từ người hiến tặng để thay thế cho phần bị tổn thương, mang lại những tín hiệu tích cực trong việc điều trị.
Tùy theo triệu chứng cụ thể người bệnh gặp phải, bác sĩ có thể kết hợp thêm một số phương pháp điều trị hỗ trợ, nhằm kiểm soát tình trạng sốt cao, nấm, nhiễm trùng, thiếu máu, giảm tiểu cầu, rối loạn đông máu…
Hiện chưa có phương pháp giúp phòng ngừa tuyệt đối. Tuy nhiên, một số phương pháp sau có thể hỗ trợ giảm thiểu nguy cơ mắc bệnh hoặc phát hiện sớm bệnh lý, từ đó nâng cao hiệu quả điều trị:
Một số thắc mắc thường gặp liên quan đến hội chứng HLH gồm có:
Câu trả lời là không. Bệnh HLH là một dạng rối loạn miễn dịch, đặc trưng bởi sự hoạt hóa miễn dịch quá mức. Bệnh diễn tiến nhanh và ảnh hưởng tiêu cực đến sức khỏe người bệnh nếu không được phát hiện và điều trị sớm.
Bệnh HLH có thể chữa được trong giai đoạn sớm. Tuy nhiên, tiên lượng của mỗi người bệnh là khác nhau.

Thời gian sống của người mắc bệnh phụ thuộc vào nhiều yếu tố như phân loại bệnh, tuổi tác, thời gian phát hiện bệnh, khả năng đáp ứng điều trị… Mỗi người cần tìm hiểu dấu hiệu nhận biết bệnh sớm, hình thành thói quen khám sức khỏe định kỳ 1-2 lần/năm tại bệnh viện để tầm soát và can thiệp kịp thời nếu mắc hội chứng ăn tế bào máu.
HỆ THỐNG BỆNH VIỆN ĐA KHOA TÂM ANH
Tóm lại, hội chứng thực bào máu là bệnh nguy hiểm, ảnh hưởng tiêu cực đến sức khỏe nếu không được can thiệp sớm, đúng cách. Mỗi người cần chủ động theo dõi sức khỏe của bản thân và gia đình, thăm khám ngay khi xuất hiện dấu hiệu bất thường.