Bướu thận lành tính chỉ chiếm 5% nhưng bỏ sót có nguy cơ mất chức năng thận. Với bướu thận ác tính, nếu điều trị trễ có thể đe doạ tính mạng.

Mỗi tuần, BVĐK Tâm Anh TP HCM đều có ca mổ bướu thận, bướu lành cũng như bướu ác tính. Nhiều người bệnh nhập viện trễ do quan niệm “sống chung” với bệnh, kiểm soát sức khoẻ bỏ sót u, tự điều trị u bằng biện pháp dân gian…, trong đó có những trường hợp còn rất trẻ.
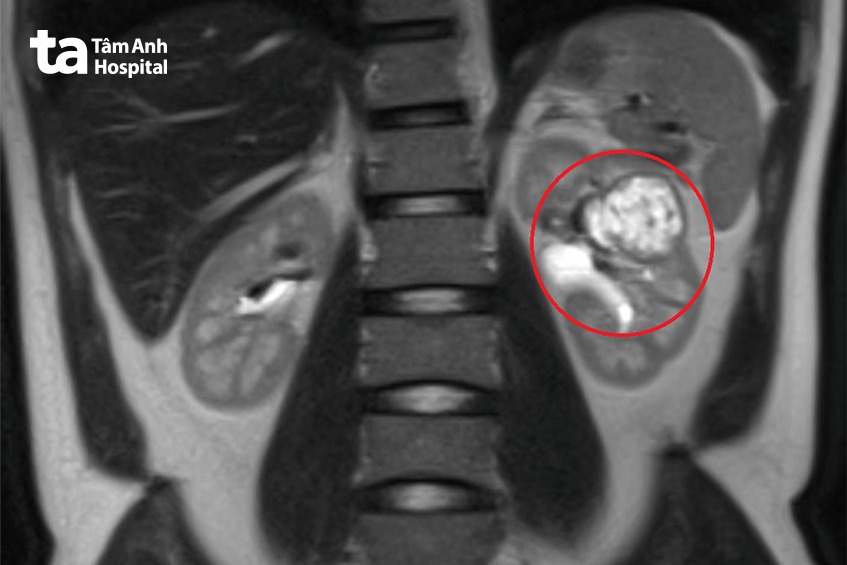
Anh T.T.L. (35 tuổi, ngụ TP.HCM) phải cắt toàn bộ thận trái do ung thư thận. Tiến sĩ bác sĩ Nguyễn Hoàng Đức, Trưởng khoa Tiết niệu, Trung tâm Tiết niệu – Thận học – Nam khoa, cho biết người bệnh không khám sức khỏe định kỳ thường xuyên, khi phát hiện khối u đã 4,5cm, lại nằm sát vùng xoang thận dính với các mạch máu chính của thận. Các xét nghiệm chẩn đoán hình ảnh CT-scan và MRI cho thấy đầy đủ các đặc điểm điển hình của u thận ác tính.
Vì khối u lớn lại ở vị trí “hiểm”, nếu phẫu thuật giữ lại phần thận khỏe mạnh thì vẫn có nguy cơ bỏ sót tế bào ung thư; và về mặt kỹ thuật không tái tạo lại được hình thái của phần thận còn lại; do đó buộc ê kíp phải phẫu thuật nội soi cắt toàn bộ thận trái.
“Chúng tôi không còn cách nào khác phải cắt bỏ thận khi bệnh nhân còn quá trẻ”, bác sĩ Đức nói.
Với một quả thận, người bệnh vẫn có thể sống khỏe mạnh. Tuy nhiên, sau này khi lớn tuổi, anh L. có nguy cơ đối diện với suy thận và tăng huyết áp.

May mắn hơn, chị H.M.H. (45 tuổi, Đồng Nai) có bướu thận lành tính, chỉ chiếm 5% tổng số ca bướu thận. Bác sĩ CKI Phan Huỳnh Tiến Đạt, Trung tâm Tiết niệu – Thận học – Nam khoa, cho biết bướu thận của chị H. dạng bướu mỡ cơ mạch (AML). Lúc phát hiện khối u dài gấp đôi chiều dài thận. U xuất phát từ cuống cực trên thận trái, cùng với thận trông giống như hai trái nho cùng chùm.
Theo bác sĩ Đạt, giống như các loại u thận lành khác, u mỡ cơ mạch thường phát triển độc lập, không ảnh hưởng đến thận, không diễn tiến thành ác tính. Tuy nhiên, nếu u quá lớn sẽ chèn ép niệu quản khiến thận ứ nước… Nghiêm trọng hơn , khối u có thể vỡ, dẫn đến xuất huyết, chảy máu ồ ạt gây sốc mất máu, thậm chí tử vong. Vì vậy người bệnh có chỉ định mổ mở cắt lấy u. Khi lấy ra ngoài, khối u có chiều dài 20cm, nặng khoảng 1,5kg.
Bướu thận là một khối hoặc một nhóm tế bào phát triển bất thường trên thận. Bướu có kích thước đa dạng, có thể là bướu ác tính hoặc lành tính. Bướu thận lành tính chiếm 5% trong tổng số các u ở thận. Bướu lành gồm u tuyến thận, u tế bào hạt, u mạch cơ trơn mỡ thận, nang đơn thận.
Bướu ác thường gặp nhất là ung thư biểu mô tế bào thận hoặc nang thận ác tính. Đa phần, u đặc ở thận thường ác tính. Ung thư thận là một loại ung thư đường tiết niệu thường gặp, chiếm tỷ lệ 2%-3% trong tất cả loại ung thư. Nam giới mắc bệnh này cao hơn nữ giới. Hầu hết, người bệnh được chẩn đoán từ 60-70 tuổi.

Hiện y học học chưa xác định rõ nguyên nhân gây bướu thận. Vì thế, chưa có biện pháp phòng ngừa hữu hiệu. Với bướu thận lành tính, yếu tố nguy cơ mắc bệnh chủ yếu là nam giới, người có bệnh nền, cao tuổi.
Với bướu thận ác tính, một số yếu tố nguy cơ được xác định có liên quan gồm: hút thuốc lá, tiếp xúc với các hóa chất sử dụng trong công nghệ dệt nhuộm, thép, quặng mỏ, sơn, nhựa, thuốc bảo vệ thực vật; béo phì (đặc biệt ở phụ nữ); tăng huyết áp; suy thận mạn đang lọc máu; viêm gan siêu vi C mạn tính; lạm dụng thuốc giảm đau nhóm kháng viêm non steroid.
U thận lành tính và ác tính thường không có triệu chứng, cả ở giai đoạn sớm của ung thư. Khi có triệu chứng đa phần kích thước u đã lớn chèn ép các cơ quan khác; hoặc bệnh đã ở giai đoạn muộn, tế bào ung thư xâm lấn, di căn sang các cơ quan khác.
Với ung thư thận, khoảng 30% người bệnh phát hiện tình cờ qua siêu âm bụng khi thăm khám sức khỏe định kỳ. Người bệnh cũng không có triệu chứng liên quan đến đường tiết niệu. 25% người bệnh có triệu chứng tiểu máu, đau hông lưng, đi khám và phát hiện. Ở giai đoạn muộn đến khám vì bụng to do khối u trồi lên chèn ép các cơ quan lân cận, bác sĩ Đức cảnh tỉnh.
Về u thận lành tính, đa số là u mỡ cơ mạch, bác sĩ Đạt cho biết tùy theo kích thước u để có chỉ định phù hợp. Bướu thận lành phần lớn có kích thước nhỏ dưới 3- 4cm chỉ cần theo dõi định kỳ mỗi 6 tháng. Các u mỡ cơ mạch của thận kích thước trên 5cm và có nguy cơ vỡ xuất huyết sẽ can thiệp bằng kỹ thuật nút mạch máu nuôi u hoặc phẫu thuật cắt u bằng nội soi hoặc mổ mở.
Với ung thư thận, việc điều trị tùy thuộc vào giai đoạn của ung thư, kích thước và vị trí u. Khi u nhỏ hơn 4cm ở các vị trí thuận lợi , còn nằm khu trú trong thận, chưa phá vỏ bao thận, chưa xâm lấn ra lớp mỡ quanh thận, người bệnh sẽ được cắt u và bảo tồn phần thận còn lại.
Khi u lớn hơn 4cm hoặc đã xâm lấn khỏi vỏ bao thận, bác sĩ sẽ mổ mở hoặc nội soi để cắt bỏ toàn bộ quả thận, lấy hết các mô mỡ xung quanh thận để tránh tái phát sau này.
Khi u đã xâm lấn ra ngoài thận không thể phẫu thuật triệt căn tận gốc (cắt bỏ toàn bộ thận), bác sĩ sẽ cùng chuyên gia ung thư bàn các biện pháp điều trị khác.

Các bác sĩ khuyến cáo người dân hạn chế các yếu tố nguy cơ ngăn chặn khả năng biến đổi gen kích thích gây ung thư thận. Đặc biệt, chuyên gia nhấn mạnh, người dân cần khám sức khỏe định kỳ, ít nhất mỗi năm một lần, tại các cơ sở y tế uy tín với máy móc tốt, chuyên gia y tế tay nghề cao. Trong đó cần chú trọng siêu âm bụng và thận để sớm phát hiện khối u. Bướu càng nhỏ càng khó phát hiện, gây khó khăn cho bác sĩ nhưng đây là giai đoạn vàng để điều trị bệnh.
“U ác tính giai đoạn sớm , kích thước dưới 4cm hoàn toàn có thể cắt u, bảo tồn thận. Khả năng sống còn sau 5 năm không tái phát u của người bệnh lên tới 95%-98%, có thể coi là điều trị khỏi”, bác sĩ Đức nói.
HỆ THỐNG BỆNH VIỆN ĐA KHOA TÂM ANH
HỆ THỐNG BỆNH VIỆN ĐA KHOA TÂM ANH