
Hội chứng Turner (hay còn gọi là hội chứng XO) là một trong những bệnh lý di truyền hiếm gặp, gây ảnh hưởng đến sự phát triển thể chất và chức năng sinh lý của nữ giới.

Hội chứng Turner là bệnh lý di truyền do bất thường về nhiễm sắc thể, chủ yếu ảnh hưởng đến nữ giới. Thông thường, phụ nữ có hai nhiễm sắc thể X (XX), trong khi nam giới có một nhiễm sắc thể X và một nhiễm sắc thể Y (XY). Tuy nhiên, với những người mắc hội chứng này, một trong hai nhiễm sắc thể X sẽ bị thiếu hoặc bị thay đổi, dẫn đến các vấn đề về phát triển thể chất và các chức năng sinh lý như vô sinh, thiếu hụt hormone giới tính,…
Turner có thể được phát hiện trong suốt thai kỳ qua các xét nghiệm sàng lọc. Trong đó, nhiều trường hợp bệnh lý này chỉ được chẩn đoán sau khi sinh hoặc khi trẻ bước vào giai đoạn dậy thì. Mặc dù không thể chữa khỏi hoàn toàn nhưng với sự can thiệp sớm và điều trị phù hợp, người mắc bệnh vẫn có thể sống vui vẻ và khỏe mạnh. (1)
Tìm hiểu thêm: Bất thường nhiễm sắc thể là gì?
Có ba dạng chính của hội chứng Turner là đơn bội X, hội chứng Mosaic Turner và hội chứng Turner di truyền. Mỗi dạng có những đặc điểm riêng biệt ảnh hưởng đến sự phát triển và sức khỏe của người bệnh. Cụ thể:
Đây là dạng phổ biến nhất của hội chứng Turner, chiếm khoảng 45% các trường hợp mắc bệnh. Trong dạng này, bệnh nhân chỉ có một nhiễm sắc thể X thay vì hai nhiễm sắc thể X như bình thường.
Dạng này thường gây ra những vấn đề nghiêm trọng về sự phát triển của cơ thể, đặc biệt là chiều cao. Ngoài ra, người mắc bệnh còn có thể gặp phải các vấn đề sức khỏe tim mạch, rối loạn chức năng thận, các vấn đề về sự phát triển giới tính như không có kinh nguyệt, buồng trứng không phát triển,…
Hội chứng Mosaic Turner (còn được gọi là 45, X khảm) chiếm khoảng 30% các trường hợp mắc hội chứng Turner. Trong đó, một số tế bào trong cơ thể có bộ nhiễm sắc thể X bình thường, trong khi các tế bào khác có nhiễm sắc thể X bị thiếu hoặc biến đổi.
Do có sự kết hợp giữa các tế bào bình thường và các tế bào bất thường nên những người mắc hội chứng Mosaic Turner thường có triệu chứng nhẹ hơn và có thể phát triển gần như bình thường hơn so với các bệnh nhân mắc dạng đơn bội X. Tuy nhiên, những người này vẫn có thể gặp phải một số vấn đề sức khỏe như chiều cao thấp, các vấn đề về sinh sản,…
Hội chứng Turner di truyền là một sự bất thường xảy ra khi một phần của nhiễm sắc thể X bị mất hoặc biến đổi trong quá trình thụ tinh. Đây là một dạng khá hiếm gặp, được di truyền từ cha mẹ ruột của người bệnh và có thể có các triệu chứng, mức độ ảnh hưởng khác nhau. Các bệnh nhân bị tình trạng này có thể không gặp phải các vấn đề nghiêm trọng như bệnh nhân dạng đơn bội X nhưng vẫn có thể phải đối mặt với một số vấn đề về chiều cao, tim mạch và chức năng sinh lý.
Hội chứng Turner được biểu hiện thông qua nhiều dấu hiệu trong các giai đoạn khác nhau của sự phát triển từ thai kỳ đến khi trưởng thành. Các dấu hiệu này có thể từ nhẹ đến nặng, tùy thuộc vào mức độ thiếu hụt nhiễm sắc thể X. Cụ thể:
Một số dấu hiệu của bệnh có thể được phát hiện ngay từ khi thai nhi còn trong bụng mẹ, đặc biệt qua các xét nghiệm sàng lọc trước sinh như siêu âm, NIPT, xét nghiệm nhiễm sắc thể từ tế bào máu ngoại vi,… Những dấu hiệu trong thai kỳ bao gồm:

Khi trẻ sơ sinh được sinh ra, hội chứng Turner có thể được biểu hiện qua các dấu hiệu sau:
Khi trẻ trưởng thành, các vấn đề về thể chất vẫn có thể tiếp tục kéo dài. Những triệu chứng phổ biến ở trẻ em và người lớn bao gồm:
Hội chứng Turner xảy ra do sự bất thường trong việc phân chia nhiễm sắc thể trong quá trình thụ tinh hoặc phân chia tế bào. Thông thường, trong quá trình phân chia tế bào, mỗi cá thể thừa hưởng một nhiễm sắc thể X từ mẹ và một nhiễm sắc thể X hoặc Y từ cha. Tuy nhiên với Turner, một phần hoặc toàn bộ nhiễm sắc thể X bị thiếu hoặc phát triển không đúng cách. Điều này dẫn đến việc các tế bào chỉ có một nhiễm sắc thể X thay vì hai, gây ra các vấn đề về phát triển cơ thể và chức năng sinh lý. (2)
Nguyên nhân chính xác dẫn đến sự bất thường này vẫn chưa được xác định chính xác nhưng theo nhiều nghiên cứu cho thấy một số yếu tố di truyền có thể ảnh hưởng đến sự phân chia nhiễm sắc thể.
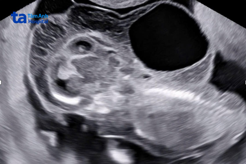
Nếu có bất kỳ dấu hiệu nào của hội chứng Turner trong thai kỳ hoặc trong khi trẻ ở giai đoạn sơ sinh, việc thăm khám và chẩn đoán kịp thời là rất quan trọng. Khi siêu âm tại các mốc thai kỳ quan trọng, nếu nhận thấy thai nhi có sự phát triển bất thường như chất dịch dày xung quanh vùng cổ của thai nhi, sự phát triển không đồng đều của các cơ quan trong cơ thể,… chị em nên tham khảo ý kiến của bác sĩ để được hướng dẫn thực hiện các xét nghiệm cần thiết. (3)
Bên cạnh đó, nếu trẻ sơ sinh và trẻ nhỏ có chiều cao thấp bất thường hoặc gặp các vấn đề về tim, thận, bất thường về các chức năng sinh lý khác, chị em cần đưa trẻ đến bệnh viện ngay để được kiểm tra chuyên sâu và điều trị kịp thời.

Hội chứng Turner ảnh hưởng chủ yếu đến sự phát triển thể chất và chức năng sinh lý của người bệnh. Các vấn đề thường gặp bao gồm đặc điểm cơ thể bất thường, chiều cao thấp, không có chu kỳ kinh nguyệt, khó khăn trong quá trình sinh sản, các vấn đề về tim mạch, thận, nội tiết,… Tuy nhiên, nếu được phát hiện sớm, điều trị kịp thời và theo dõi chặt chẽ, người bệnh có thể duy trì được cuộc sống khỏe mạnh và giảm thiểu được các nguy cơ biến chứng của hội chứng này.
Hội chứng Turner thường được chẩn đoán thông qua các phương pháp sau:
Chẩn đoán trước sinh có thể được thực hiện thông qua siêu âm thai, xét nghiệm máu, NIPT, chọc ối, lấy mẫu nhung mao màng đệm,… Những phương pháp này có thể phát hiện các dấu hiệu sớm của căn bệnh này bao gồm các chất dịch tích tụ nhiều ở xung quanh vùng cổ của thai nhi và sự phát triển bất thường của các cơ quan trong cơ thể như dị tật về tim mạch, thận,…
Sau khi sinh, bác sĩ có thể chẩn đoán bệnh thông qua các triệu chứng lâm sàng, xét nghiệm máu, siêu âm và đặc biệt là xét nghiệm di truyền để xác định tình trạng nhiễm sắc thể của người bệnh.
Xét nghiệm nhiễm sắc thể (Genetic karyotyping), còn được gọi là phân tích nhiễm sắc thể. Đây được xem là phương pháp chính xác nhất để xác định hội chứng Turner. Xét nghiệm này giúp xác định số lượng và tình trạng nhiễm sắc thể X của bệnh nhân, từ đó đưa ra kết luận chính xác về tình trạng bệnh.
Hiện nay, chưa có phương pháp điều trị triệt để để chữa khỏi hội chứng Turner. Tuy nhiên, việc phát hiện và điều trị sớm các triệu chứng có thể giúp cải thiện chất lượng cuộc sống của người bệnh. Các phương pháp điều trị bao gồm liệu pháp hormone thay thế để thúc đẩy sự phát triển chiều cao và chức năng sinh lý cho người bệnh, các phương pháp can thiệp khác như phẫu thuật hoặc điều trị các vấn đề về tim mạch, thận,… để cải thiện và giảm bớt các triệu chứng của bệnh.

Đây là một bệnh di truyền, do đó không có cách nào để phòng ngừa hoàn toàn bệnh lý này. Tuy nhiên, việc chẩn đoán sớm và theo dõi sự phát triển của thai nhi và trẻ sơ sinh có thể giúp phát hiện và điều trị kịp thời các triệu chứng. Các bậc phụ huynh có thể tham khảo ý kiến của bác sĩ chuyên khoa để nhận được tư vấn cụ thể và chi tiết về các phương pháp phòng tránh, đồng thời được hỗ trợ kịp thời khi có những dấu hiệu bất thường.
HỆ THỐNG BỆNH VIỆN ĐA KHOA TÂM ANH
Tóm lại, hội chứng Turner là một bệnh lý di truyền ảnh hưởng nghiêm trọng đến sự phát triển của nữ giới, từ thai kỳ cho đến khi trưởng thành. Việc phát hiện sớm và điều trị kịp thời có thể giúp cải thiện chất lượng sống và giảm thiểu những ảnh hưởng của bệnh lý này giúp bệnh nhân sống vui và khỏe mạnh hơn.