Khối u cơ mỡ xuất phát từ nhu mô thận, phát triển âm thầm, lan rộng và ôm lấy thận, bác sĩ dùng robot Da Vinci Xi phẫu thuật cắt trọn khối u, giữ lại thận cho người bệnh.

“Nếu không được phát hiện và xử lý sớm, khối u cơ mỡ sẽ lớn dần và gây chảy máu tự phát, hình thành khối máu tụ sau phúc mạc, đau tức dữ dội vùng hông lưng. Đây là một biến chứng nguy hiểm đe dọa tính mạng”, ThS.BS Nguyễn Tân Cương, Phó khoa Tiết niệu, Trung tâm Tiết niệu – Thận học – Nam khoa, Bệnh viện Đa khoa Tâm Anh TP.HCM nói, sau khi hoàn tất ca phẫu thuật bằng robot Da Vinci Xi, lúc 22h.

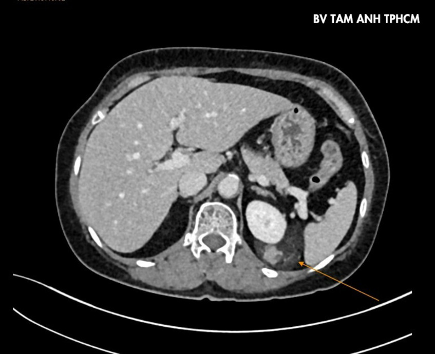
Trước đó, bà Kim, 63 tuổi, đến Bệnh viện Đa khoa Tâm Anh TP.HCM khám sức khỏe định kỳ, tình cờ phát hiện có khối u ở thận trái, kích thước khoảng 4×8 cm. Người bệnh không đau, không sốt, không tiểu máu. Hình ảnh chụp cắt lớp vi tính CT scan cho thấy khối u xuất phát từ một phần nhu mô thận rồi lan rộng ra xung quanh, bao lấy thận, kèm theo nhiều mạch máu tăng sinh dị dạng, khả năng là u cơ mỡ mạch thận (AML), một loại u thận lành tính.
Theo bác sĩ Cương, những khối u cơ mỡ mạch thận dưới 4 cm thường không gây triệu chứng và rất hiếm khi chảy máu, người bệnh chỉ cần theo dõi định kỳ. Tuy nhiên, trường hợp của bà Kim, khối u lớn đường kính đã gần 8 cm, các mạch máu tăng sinh nhiều rất dễ chảy máu tự phát, gây đau hông lưng dữ dội do hình thành khối máu tụ quanh thận – một tình trạng cấp cứu nguy hiểm.

Các phương án điều trị cho bà Kim được đặt ra gồm kỹ thuật nút mạch (gây tắc các mạch máu nuôi u) khiến khối u bị hoại tử vô trùng, hoặc phẫu thuật triệt để cắt trọn khối u. Do khối u bao phủ trên bề mặt thận, một phần phát triển lên cực trên và ra mặt sau thận, vùng mổ hạn chế, khối u khó tiếp cận nên phẫu thuật sẽ khó khăn do có nguy cơ chảy máu. Phẫu thuật với sự hỗ trợ của hệ thống robot Da Vinci Xi là phương pháp tối ưu giúp bác sĩ phẫu tích chính xác trong vùng mổ hẹp giảm nguy cơ mất máu.
Trong ca mổ, bốn cánh tay robot đã hỗ trợ bác sĩ phẫu tích chính xác vùng tổn thương, cô lập và xử lý hiệu quả các mạch máu tăng sinh, sau đó bóc tách và cắt bỏ toàn bộ lớp u cơ mỡ bao quanh thận, đồng thời bảo tồn tối đa chức năng thận cho bệnh nhân. Sau mổ, bà Kim hồi phục tốt, tập đi lại sau 2 ngày, sức khỏe ổn định.

U cơ mỡ mạch là khối u thận lành tính, xuất phát từ nhu mô thận phát triển, lan rộng xung quanh, thành phần chủ yếu là mạch máu, mỡ và cơ. Khi u lớn có thể chèn ép cấu trúc xung quanh, nguy hiểm hơn là các mạch máu dị dạng, giãn quá mức, có thể vỡ và gây xuất huyết sau phúc mạc. Bệnh có liên quan mật thiết đến hội chứng xơ cứng củ – một bệnh di truyền do đột biến gen TSC1 hoặc TSC2, bệnh cũng có thể gặp ở phụ nữ mắc bệnh phổi thâm nhiễm cơ trơn hiếm gặp. Đa phần bệnh diễn tiến âm thầm, không triệu chứng, một số trường hợp có thể bị đau hông lưng, tiểu máu, nhiễm khuẩn hoặc sờ thấy khối u khi thăm khám.
Việc điều trị u cơ mỡ mạch thận phụ thuộc vào kích thước khối u, tốc độ phát triển và mức độ ảnh hưởng đến thận. Khi khối u lớn hơn 4 cm, người bệnh thường được chỉ định can thiệp nút mạch hoặc phẫu thuật. Nút mạch làm giảm kích thước khối u và nguy cơ xuất huyết. Phẫu thuật là giải pháp triệt để nhằm loại bỏ hoàn toàn khối u.
“Ngay cả sau khi phẫu thuật, người bệnh vẫn phải tuân thủ lịch tái khám và theo dõi định kỳ, phát hiện sớm nếu u tái phát để can thiệp kịp thời và hiệu quả”, bác sĩ Cương nhấn mạnh.
* Tên nhân vật đã được thay đổi
HỆ THỐNG BỆNH VIỆN ĐA KHOA TÂM ANH