Anh Quang, 28 tuổi, áp xe biến chứng rò hậu môn hình móng ngựa phức tạp, gây sưng đau, chảy mủ kéo dài, vừa được loại bỏ mô xơ dài 25 cm, phục hồi.

Anh Quang (ngụ tại Đồng Nai) chịu cảnh vùng hậu môn sưng to, chảy dịch trắng, đau nhức dữ dội khi đi vệ sinh hơn một năm nay. Lúc đầu, vùng hậu môn xuất hiện cục mụn cứng sần, to bằng đầu ngón tay, anh nghĩ cục nhọt bình thường nên không đi khám mà tự mua thuốc về uống. Sau một tuần uống thuốc, mủ hình thành và lan rộng, sưng cứng cả 2 mông. Anh đi khám tại cơ sở y tế gần nhà, bác sĩ chẩn đoán áp xe hậu môn gây nhiễm trùng, được chỉ định phẫu thuật. 4 tháng sau phẫu thuật, tình trạng chảy mủ vẫn diễn ra, anh lại tiếp tục ca phẫu thuật thứ 2, cắt mô xơ rò. Tuy nhiên, sau đó, cứ 5-10 ngày lỗ rò lại mưng mủ, chảy dịch, không hết sưng đau. Cơn đau nhức khiến anh không thể đi hay ngồi, cả đêm không ngủ được vì đau.
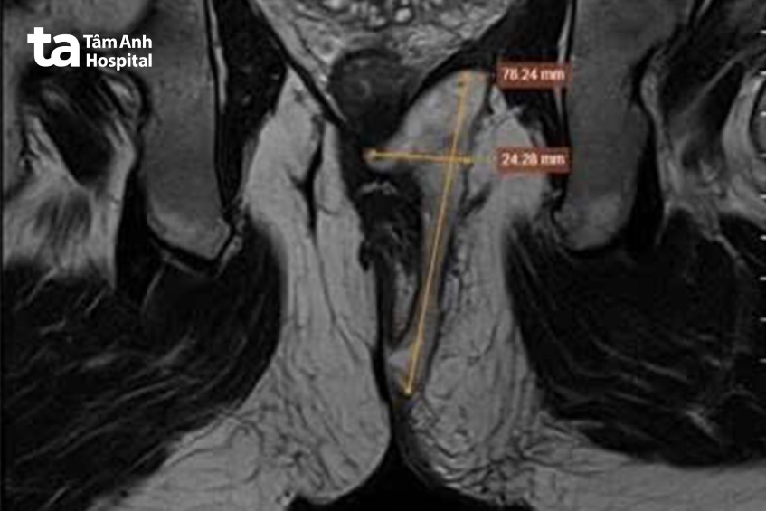
Ngày 12/8, Thạc sĩ bác sĩ Nguyễn Văn Hậu, Trung tâm Nội soi và Phẫu thuật Nội soi Tiêu hóa, Bệnh viện Đa khoa Tâm Anh TP HCM cho biết, kết quả chụp cộng hưởng từ MRI 3 Tesla vùng hậu môn – trực tràng ghi nhận có ổ áp xe kích thước 2,4 cm, trong khoang hố ngồi – trực tràng có 2 lỗ rò ngoài. Từ lỗ rò trong có 1 nhánh phụ lan ra bìu phải. Kết quả nội soi trực tràng ống mềm cũng cho thấy, cách bờ hậu môn 5 cm có 2 ổ áp xe kích thước 1-2 cm, tại ống hậu môn có lỗ rò chảy dịch trắng đục.
Bác sĩ Hậu cho biết, trường hợp anh Quang đã biến chứng rò hậu môn móng ngựa (là một dạng các mô rò ăn sâu phức tạp, đường đi giống hình móng ngựa, bao quanh trực tràng, nằm giữa trực tràng và cơ nâng hậu môn), ăn luồng qua bên trái, gây áp xe hóa xì mủ, tổn thương mô mềm xung quanh vùng hậu môn, lan rộng vào vùng cơ thắt hậu môn. Nguyên nhân rò hậu môn tái phát nhiều lần có thể liên quan đến nhiều yếu tố như kỹ thuật điều trị không phù hợp, quá trình phẫu thuật không xử lý triệt để các mô rò. Đặc biệt, khi tuyến hậu môn bị nhiễm trùng và tạo thành ổ mủ (áp xe) nếu không được dẫn lưu hoặc điều trị đúng cách có thể vỡ ra và tạo thành nhiều đường rò. Các đường rò này có thể lan rộng và sâu hơn, đi qua các cơ vòng hậu môn và tạo thành các ngóc ngách, khiến bệnh trở nên phức tạp.

Anh Quang cần phẫu thuật lấy hết gốc rễ mô xơ đường rò để giải quyết triệu chứng trước mắt, đồng thời phòng ngừa biến chứng: nhiễm trùng dai dẳng, hoại tử mô xung quanh, đường rò ăn luồng tạo ra nhiều đường rò và lỗ rò mới. Những đường rò và lỗ rò khi không được xử trí sẽ lây lan sang khắp vùng chậu, ảnh hưởng tới tiết niệu, bàng quang, tinh hoàn, tổn thương cơ thắt gây són phân (đại tiện không tự chủ), gia tăng nguy cơ ung thư hậu môn – trực tràng, ung thư hậu môn…
Bắt đầu cuộc phẫu thuật, sau khi xác định được “bản đồ” đường rò, bác sĩ tiếp cận xử lý lần lượt đường rò từ bên trong, niêm mạc đến mô xơ đường rò. Tiến hành cắt mô xơ đường rò từ lỗ ngoài đi xuyên cơ thắt vào khoang trực tràng tạo ổ áp xe thông vào lỗ rò trong. Bác sĩ cắt hết mô xơ sượng một đoạn ngoằn ngoèo 25 cm, người bệnh được cầm máu kỹ và băng ép vết mổ.
Hậu phẫu, vết thương khô, lành dần, anh Quang được xuất viện một ngày sau mổ. Người bệnh được hướng dẫn cách chăm sóc vết thương sau khi về nhà với dụng cụ bông băng vô trùng. Đảm bảo vết thương liền từ trong ra ngoài, từ dưới lên trên, phòng tránh biến chứng nhiễm trùng vết thương và hạn chế khả năng tái phát.

Rò hậu môn (dân gian còn gọi là bệnh mạch lươn) là tình trạng xuất hiện các đường hầm (đường rò) bất thường dưới da, nối ống hậu môn với vùng da xung quanh hậu môn. Rò hậu môn có thể xuất hiện ở mọi đối tượng, do nhiều nguyên nhân như vệ sinh sai cách gây viêm nhiễm, hình thành lỗ rò; viêm tuyến ống hậu môn; áp lực hậu môn trực tràng (do ngồi nhiều, khiêng vật nặng, rặn khi đi đại tiện). Rò hậu môn cũng có thể do áp xe hậu môn, bệnh Crohn, lao, ung thư hay ảnh hưởng từ cuộc phẫu thuật ở vùng gần hậu môn. Trong đó, 95% trường hợp rò hậu môn là hậu quả của áp xe tuyến hậu môn – một ổ nhiễm trùng chứa mủ nằm ở vùng hậu môn trực tràng.
Nguyên tắc điều trị rò hậu môn cần xác định được vị trí lỗ rò, các ổ áp xe, cũng như định vị hướng đi của đường rò để loại bỏ hết tổ chức mô xơ, phá vỡ ngóc ngách đường rò nhưng không làm ảnh hưởng đến cơ hậu môn, cũng như các cơ quan lân cận khác. Điều này giúp kiểm soát và giảm thiểu tối đa những biến chứng trong và sau khi phẫu thuật. Đặc biệt, cần điều trị dứt điểm áp xe hậu môn ngay từ đầu.
Khi có dấu hiệu bất thường như ngứa hậu môn, da hậu môn đổi màu và có tình trạng trầy xước, có dịch mủ vàng, chảy dịch hậu môn cần đến khám tại các cơ sở y tế uy tín với đầy đủ hệ thống trang thiết bị. Sau điều trị, người bệnh cần tuân thủ chặt chẽ chỉ dẫn của bác sĩ cách vệ sinh, thực hiện các bài tập Kegel rèn luyện cơ sàn chậu, tái khám định kỳ để phòng ngừa bệnh tái phát.
(*) Tên bệnh nhân đã được thay đổi
HỆ THỐNG BỆNH VIỆN ĐA KHOA TÂM ANH